
Unlike what the name suggests, Joint replacement surgery does not actually replace the entire joint. Only the worn out surface of the bones is shaven, reshaped and resurfaced with a metal and plastic implant. If you are above 55 years of age with severe pain /deformity in the knees, not relieved by routine painkillers and physio, x-rays show severe degenerative changes and you are severely incapacitated in your daily chores, you can opt for a joint replacement treatment.
Dr. M.S. Narula is and Joint replacement Surgeon – particularly a knee and hip replacement specialist - with over 18 years of experience. As one of the best orthopaedic surgeons for Knee Replacement, he offers minimally invasive and small incision techniques to provide state of the art care to his patients. He uses imported implants with a life expectancy of 25-30 years. His technique have minimum blood loss, minimum & no pain & patient starts walking next day of surgery and goes home in 5 to 7days. Dr. M.S. Narula gives special emphasis on post-op rehabilitation with personalized care to every single patient. His team of physiotherapists work closely with him to give utmost patient care and to bring them back to their activities of daily living as soon as possible.

One of the most common joint replacement surgery in India. Only the worn out surfaces of the femur, tibia and patella (bones forming the knee joint) are reshaped, resurfaced and replaced with two metallic implants and a centre plastic piece.

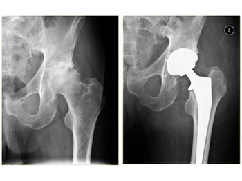
The acetabulum (cup) and the femur head (the ball) are cut and replaced with various combinations of metal/plastic/ceramic implants (stems and cups) and fixed with or without cement depending on the age of patient and quality of bone.

In a shoulder replacement surgery, the ball and socket joint is resurfaced and replaced with implants in severely worn out painful joint or a badly fractured non-constructible joint.

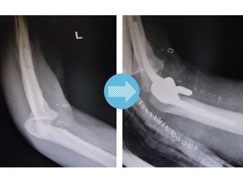
An elbow replacement surgery is especially indicated in a chronic inflamed and destroyed painful joint to give reasonable function and relief of pain.

These surgeries are complex replacement surgeries where the normal bone is unavailable due to a tumour, fracture, previous surgery etc. These also include tumour prosthesis.

Unlike a total knee replacement, in a partial knee replacement surgery, only the damaged part of the joint is replaced.